족저근막염 증상과 치료방법

안녕하세요 오늘도 어김없이 유용한 정보를 드리는 호율안소소한이야기입니다.
오늘은 족저근막염 증상과 치료방법(스트레칭) 방법에 대해 알아보도록 하겠습니다.
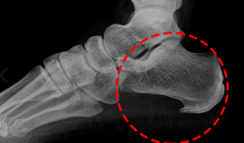
족저 근막은 종골에서 시작하여 발바닥 앞쪽으로 5개의 분지를 내어 발가락 기저부에 부착되는 강인하고 두꺼운 섬유띠입니다.
이는 발의 아치(arch)를 유지하고 체중 부하 상태에서 발을 올리는 데 도움을 줍니다. 발의 역학에 중요한 역할을 하는 부위입니다.
족저 근막염은 임상에서 가장 흔하게 접하게 되는 족부 병변 중 하나로, 뒤꿈치의 통증을 일으키는 질환입니다. 이 질환의 평균 발병 연령은 45세 정도입니다.
여성이 남성에 비해 2배 정도 잘 발생합니다. 장시간 오래 서 있었다거나 과도한 운동에 의해 발에 스트레스가 증가했거나 최근 몸무게가 증가한 병력을 갖고 있거나 오목발이나 평발이 있으면 족저 근막염이 더 쉽게 발병합니다.
혹시 발바닥 아치 부분이 아프거나, 오랜 시간 서 있거나 걸으면 통증이 심해지는 증상을 겪고 있다면, 족저근막염일 가능성이 높습니다.

족저근막염은 발뒤꿈치와 아치 부분에 통증을 유발하는 흔한 질환으로, 평균 10명 중 1명이 평생 한 번쯤은 겪는다고 합니다.
족저근막염은 발뒤꿈치와 발바닥 아치 부분에 통증을 유발하는 질환입니다.
▣ 족저근막염 증상
1. 발뒤꿈치 안쪽 또는 아치 부분의 통증 - 아침에 일어났을 때 처음 발을 디딜 때 통증이 심하고, 움직이면서 점차 완화되는 경우가 많습니다.
2. 발바닥의 뻣뻣함 - 오랜 시간 앉아 있거나 서 있을 때 발바닥이 뻣뻣하고 뭉친 느낌이 들 수 있습니다.
3. 발뒤꿈치 부위의 압통 - 발뒤꿈치를 누르면 통증이 발생합니다.
4. 아치 부분의 통증 - 아치 부분을 누르거나 움직일 때 통증이 발생합니다.
5. 걷거나 뛸 때 통증 - 걷거나 뛸 때 발뒤꿈치나 아치 부분에 통증이 느껴집니다.
족저근막염 스트레칭은 족저근막과 아킬레스건을 늘려 발뒤꿈치와 아치 부분의 통증을 완화하고 유연성을 향상하는 데 도움이 됩니다.

▣ 스트레칭 방법
1. 발목 굽히기
- 스트레칭 벽에 기대거나 의자에 앉아 무릎을 편하게 펴고 발을 앞으로 뻗습니다.
- 한쪽 발의 발목을 최대한 발등 쪽으로 굽힙니다.
- 손으로 엄지발가락을 당겨 발목을 더욱 굽힙니다.
- 10초간 유지하고 반대쪽 발도 같은 방법으로 반복합니다.
2. 아킬레스건 스트레칭
- 벽에 기대거나 의자에 앉아 무릎을 편하게 펴고 발을 앞으로 뻗습니다.
- 한쪽 발을 앞으로 내딛고, 무릎을 90도로 구부립니다.
- 다른 발은 뒤로 뻗고 발뒤꿈치를 바닥에 붙입니다.
- 몸을 앞으로 숙여 아킬레스건이 늘어나는 느낌을 느낍니다.
- 10초간 유지하고 반대쪽 발도 같은 방법으로 반복합니다.

3. 발바닥 롤링 스트레칭
- 앉아서 발바닥 아래에 골프공이나 테니스공을 놓습니다.
- 발을 앞뒤로 굴려 공을 굴립니다.
- 10회 반복하고 반대쪽 발도 같은 방법으로 반복합니다.
4. 엄지발가락 당기기 스트레칭
- 앉아서 한쪽 발의 엄지발가락을 손으로 잡습니다.
- 엄지발가락을 발등 쪽으로 당겨 발바닥을 늘립니다.
- 10초간 유지하고 반대쪽 발도 같은 방법으로 반복합니다.
5. 수건 스트레칭
- 바닥에 앉아 수건을 발바닥 아래에 놓습니다.
- 수건을 양손으로 잡아 발을 앞으로 당깁니다.
- 발바닥이 늘어나는 느낌을 느낍니다.
- 10초간 유지하고 반복합니다.
- 통증이 느껴지지 않는 범위 내에서 천천히 스트레칭을 합니다.
- 각 스트레칭은 10~30초 동안 유지합니다.
- 하루에 3~4번 스트레칭을 합니다.
- 스트레칭을 하기 전에 워밍업을 하고, 후에는 쿨다운을 합니다.