
대상포진
대상포진은 우리가 태어나서 갓난아기 때 대부분 겪는 수두 바이러스가 체내의 신경 속에 잠복해있다가 우리의 면역력이 떨어졌을 때 신체의 세포막을 뚫고 나와
다시 활성화되어 생기는 바이러스 피부질환입니다. 주로 고령의 나이대에서 많이 나타나는 질환이었으며 요즘에는 젊은 층에도 면역력이 약해지면 흔하게 나타나는 질환입니다.
특히 여성이 남성보다 더 많이 나타날 가능성이 높은 질환입니다.
대상포진 초기증상은 대부분 수포가 배와 허리에 띠를 형성해서 나타나는 게 주요 모습입니다.
드물게 얼굴에 나타난다거나 팔에 나타나는 경우도 있습니다. 많은 수치는 아니지만 눈 주위에 나타난 경우도 종종 볼 수 있는데 이 경우 재빨리 치료하지 않고 방치하게 되면 실명에 할 수 있다는게 가장 중요한 사항입니다. 대상포진 초기증상을 미리 확인해서 추후에 대상포진이 발병되면 빠르게 방치하지 말고 치료를 받는 게 가장 좋습니다.
대표적인 대상포진 초기증상 5가지 알아보도록 하겠습니다.

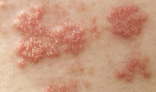
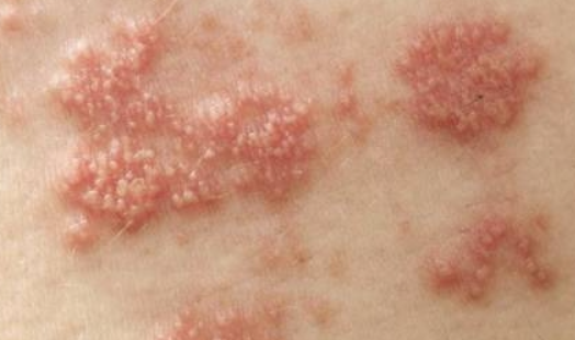
대상포진 첫번째 증상 수포 형성 입니다.
대상포진 초기증상 중 가장 대표적인 증상입니다. 피부에 작은 수포가 먼전 생깁니다, 처음에는 조그만 수포 형성에서 시작되다가 시간이 지나면 수포가 띠를 형성해서 크게 번지기도 쉽습니다. 그리고 붉은 반점도 생깁니다.
수포나 붉은 반점이 났을 때 시간 지체 없이 빨리 병원에 가서 진료를 보고 약을 처방을 받거나 심한 경우에는 입원을 해서 빨리 대상포진을 치료하는 게 가장 중요합니다.
이유는 대상포진은 빨리 치료해서 잡지 않으면 극심한 통증을 유발하고 완치 후 후유증을 남길 수 있기 때문에 빠르게 수포를 치료하는게 좋습니다.
대상포진 두 번째 증상은 통증입니다.
대상 포진은 대체적으로 피부에 수포가 일어납니다. 수포가 올라오기 전까지는 알 길이 없습니다. 수포가 일어나면 인지를 하고 알게됩니다.
보통 발진과 수포가 올라오기 전에 가렵거나 통증이 느껴진다고 합니다. 보통 대상포진은 다른 질환과 다르게 통증이 다르게 느껴집니다. 대상포진의 통증 누가 찌르는 것 같은 느낌과 어딘가 모르게 쿡-쿡 쑤시고 따끔한 느낌이 난다고 합니다.
아주 살짝만 터치해도 따끔함이나 매우 아픈 통증을 느낄 수 있습니다. 이 통증의 강도는 사람마다 천차만별입니다.
별로 크게 통증이 심하지 않은 사람이 있는 반면에 극심한 통증으로 괴로워서 자지도 못하는 사람도 많이 있습니다.
대상포진은 통증이 처음에 느꼈을때 바로 진료를 받아 치료를 하는 게 최우선입니다.

대상포진 세번째 증상은 근육통입니다.
근육통은 대상포진 초기 증상으로 제일 흔한 증상으로 알려져 있습니다. 주로 몸 전체가 아닌 통증이 일부분에만 통증을 느끼는 게 통상적입니다.
이 근육통이 평소 느껴봤던 근육통이 아니라 신경에 통증이 나는 것 같다고 생각이 드신다면 지체하지 않고 병원에 가서 진료를 해보시는 게 좋습니다. 한 번도 겪어보지 않으신 분들은 긴가민가 할 수 있기 때문에 귀찮으시더라도 혹시 모를 상황에 대비하여 진단을 받는 게 좋습니다.
대상포진 네번째 증상은 두통입니다.
앞서서도 말씀드렸지만 대상포진 초기증상은 사람마다 다 다를 수 있습니다. 하지만 두통도 초기 증상으로 많이 나타납니다. 보통 대상포진이 발병하면 피로하고 몸살 느낌도 나면서 두통도 같이 오는 경우도 많습니다.
그래서 몸살로 잘못 판단해서 개의치 않게 두통약이나 감기몸살을 드시다가 치료 골든타임인 3일을 넘기실 수도 있습니다.
그래서 피부 수포가 났는지도 꼭 제일 먼저 확인하고 만약 그럴 경우 바로 치료를 받으러 병원을 가시는 게 제일 좋습니다.
대상포진 다섯번째 증상은 신체 감각이상입니다.
대상포진은 우리 몸 어느 부분에나 나타날 수 있습니다. 그렇기에 더욱더 신경을 써서 치료하여 완치를 해야 되는 질환입니다. 주로 나타나는 부위인 배와 등을 제외하고서 귀나 눈 주위에도 발병될 수 있으므로 정말 위험할 수도 있는 질환입니다.
만약 눈과 귀 주위에 수포가 올라올 경우 감각이상을 느끼실 수도 있습니다. 예를 들어 귀 부근에 발병한다면 청력 저하에 영향을 끼칠 수도 있으며, 눈 부근에 발병하면 시력 및 여러 눈 질환을 야기시킬 수 있으니 발병 직후 바로 치료가 필요한 질환 중 하나입니다.

대상포진 치료방법
대상포진은 발병 초기에 바로 잡아야 하는 질병인데요, 제일 치료가 잘되고 빠르게 효과를 볼 수 있는 골든타임은 3일, 즉 72시간이라고 합니다.
그 이유가 골든타임이 지나서 늦게 치료를 하면 극심한 신경통을 야기시킬 수 있습니다. 대상포진의 신경통은 후유증을 남길 수도 있기 때문에 발병 직후 바로 병원에 가서 약 처방을 받고 치료를 제대로 받아서 완치해야 됩니다.
보통 약물치료와 연고를 바르는 걸로 치료를 할 수 있지만, 대상포진 상태가 심할 경우 입원 치료를 요하는 경우도 있습니다.
대상포진 치료방법도 중요하지만 예방도 정말 중요한데요, 대상포진을 예방하는 방법으로선 잘 챙겨 먹고 운동도 하여 평소에 면역력을 강화시키는 게 가장 강력한 예방법입니다.
또한 과음과 흡연도 면역력을 약하게 만들 수 있기 때문에 빈도수를 줄이는 게 좋습니다.
'건강' 카테고리의 다른 글
| 피부가려움증의 원인과 예방 (2) | 2022.10.18 |
|---|---|
| 급성 신부전증 증상 및 치료방법 (2) | 2022.10.13 |
| 축농증 증상 및 진단 치료법 (2) | 2022.09.20 |
| 뇌수막염 증상과 원인 및 진단 예방법 (2) | 2022.09.17 |
| 뇌졸중 뇌경색 및 뇌출혈 전조,초기증상 과 대처 방법 (2) | 2022.09.14 |